Dr.satishrudrappa

Pre and post operative

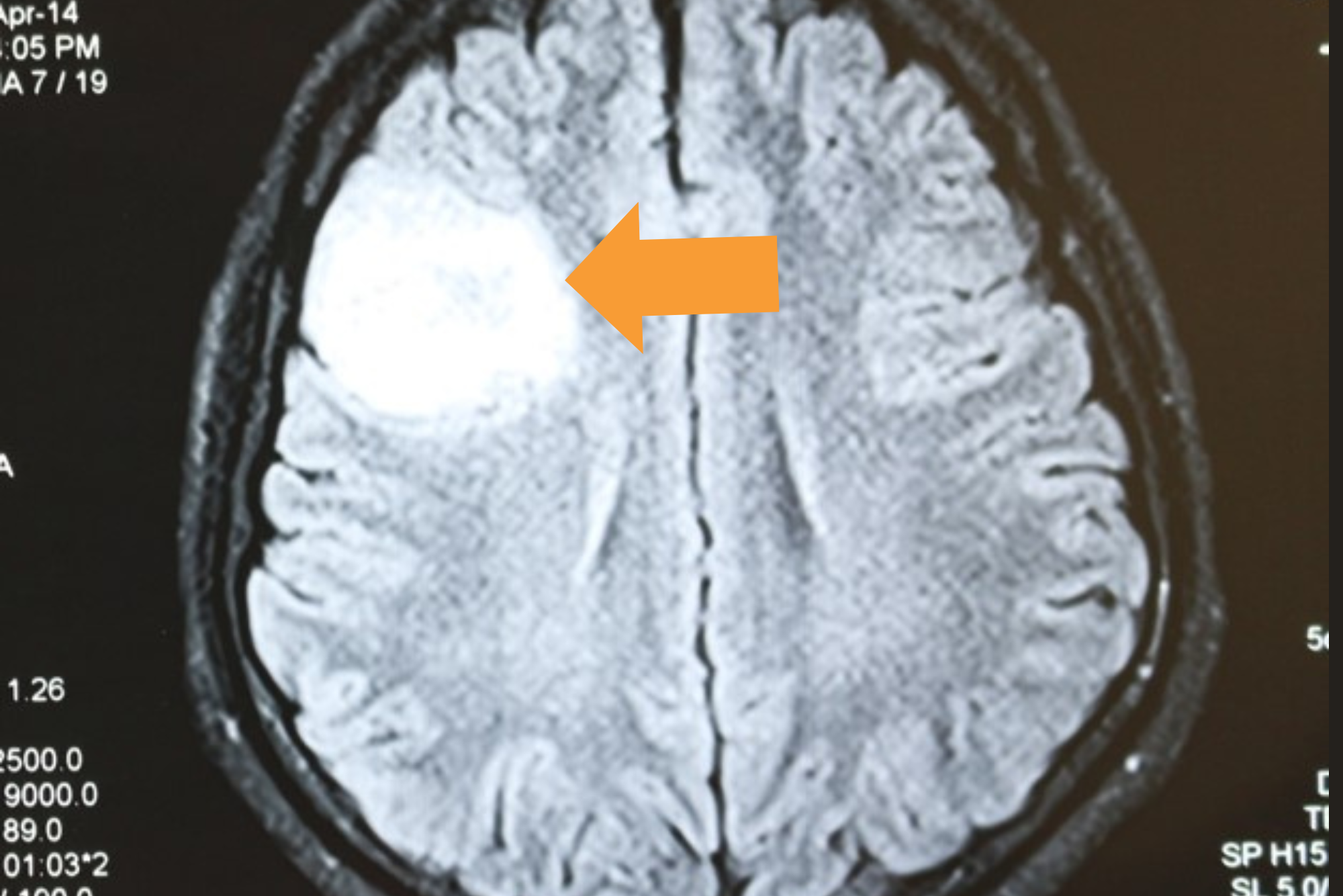
Grade II Glioma

Preoperative MRI

28 yr. Gentleman presenting with single episode of GTCS

No Neurological deficits

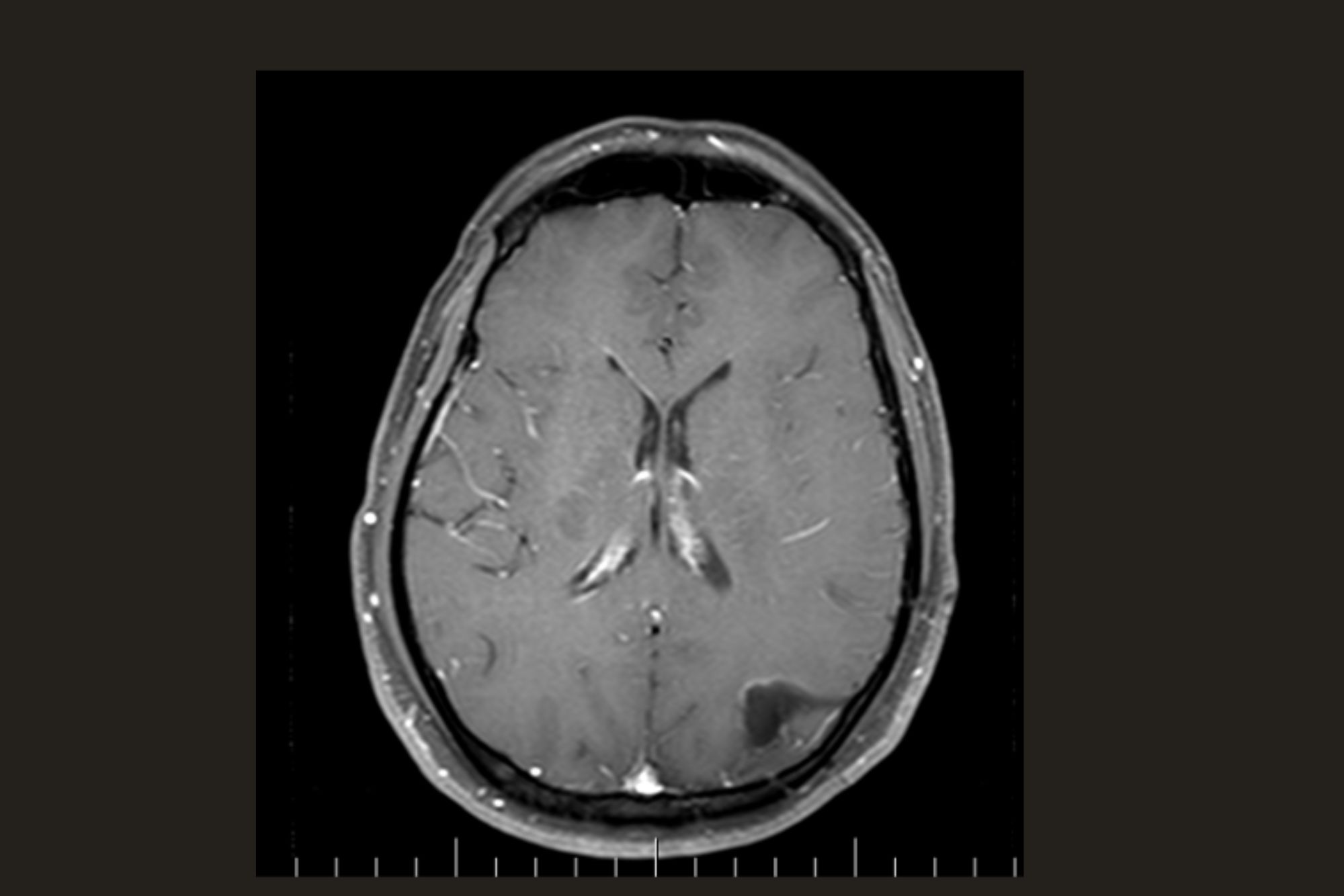
1 year Post operative contrast MRI

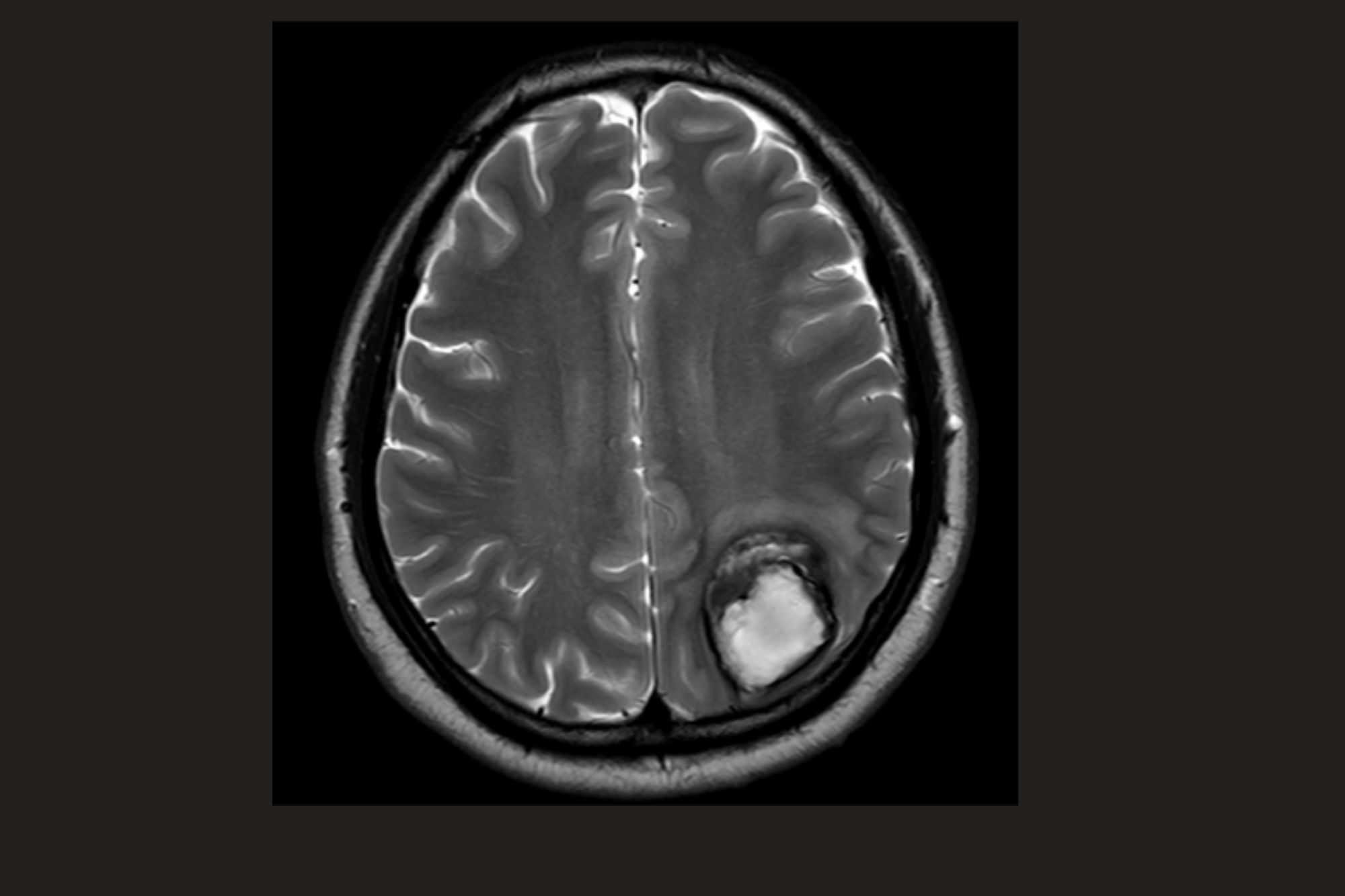
Cavernoma

Preoperative MRI

Cavernoma

1 year Post operative contrast MRI

Cavernoma

LEFT ACOUSTIC SCHWANNOMA

Preoperative MRI

LEFT ACOUSTIC SCHWANNOMA

4 MONTHS POST-OP

LEFT ACOUSTIC SCHWANNOMA

Deformity Of Back

Preoperative MRI

Deformity Of Back

Postoperative MRI

 Deformity Of Back

Asymmetry Of Shoulder

PreOperative Clinical Picture

Asymmetry Of Shoulder

Post Operative Clinical Picture

Asymmetry Of Shoulder

Congenital Scoliosis

PreOperative Image

Congenital Scoliosis

PostOperative Image

Congenital Scoliosis

Awake Craniotomy

PRE-Operative MRI

Awake Craniotomy

Post-Operative MRI

Awake Craniotomy

Call Now Button